2d

Panorámica 2D Meyer

Escáner de Tomografía Computarizada de Haz Cónico de Superficie Curva Dental

La opción confiable de más de 18,000 clínicas dentales.

  • Fácil actualización
  • Satisface las necesidades operativas de las nuevas clínicas

Descripción del producto

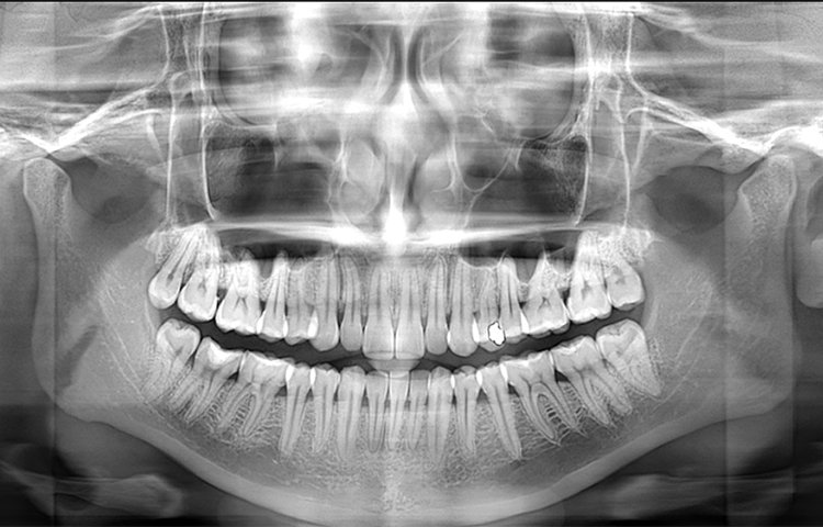
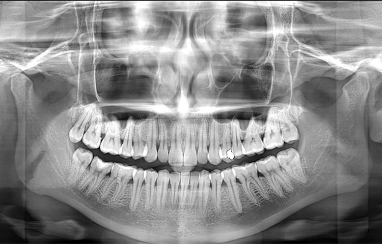
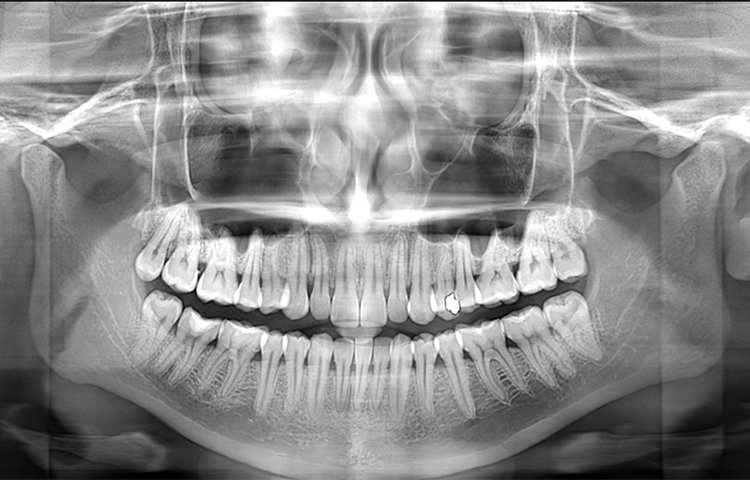
La máquina panorámica dental de Meyer proporciona a los dentistas imágenes panorámicas de alta calidad y vistas laterales, que pueden usarse para diagnosticar la dentición completa, la mandíbula y la articulación temporomandibular. También es adecuada para el diagnóstico de fracturas maxilofaciales y para el diseño de planes de ortodoncia.

Galería de imágenes

Especificaciones

Modos de Captura Pano, Ceph
Voltaje del Ánodo 60–90kV
Corriente del Ánodo 2~10mA
Tiempo de Exposición (s) Pano (17s), Ceph (12s)
Altura de Imagen 11cm
Peso (kg) 265kg
Altura de Elevación de la Columna 730mm